Однажды вы решили, что хотите иметь детей… А со временем поняли, что расчеты «правильных дней» и «правильных поз» ни к чему не привели? Посещения гинеколога и уролога также оказались бесполезными?..
Отделение ВРТ Medical Plaza специализируется на решении репродуктивных проблем, и именно экстракорпоральное оплодотворение (ЭКО) - наиболее эффективная технология лечения бесплодия, которая используется на протяжении последних 40 лет во всем мире.
✅ Благодаря усилиям наших репродуктологов в этот мир пришло уже более 1000 здоровых эко-детей.
✅Эффективность наших программ - более 50%, что на уровне международных клиник репродукции.

- 
                                                                                                    
                                                                                                                                                    Высокая результативность программ – более 50%. «Наши детки» рождаются в Украине, Португалии, США, России, Израиле, Китае и других странах мира.
- 
                                                                                                    
                                                                                                                                                    Собственная эмбриолаборатория и криобанк. Весь спектр эмбриологических манипуляций (ICSI, IVF, IMSI, PICSI и пр.)
- 
                                                                                                    
                                                                                                                                                    Наши репродуктологи стажируются в лучших репродуктивных клиниках Европы. Эмбриологи в совершенстве владеют методами витрификации.
- 
                                                                                                    
                                                                                                                                                    Доктора отделения ВРТ тесно сотрудничают с другими отделениями: вы получите консультации смежных специалистов в одном месте.
- 
                                                                                                    
                                                                                                                                                    Наш Центр единственный в Украине, работающий в направлении «онкофертильность» (партнер международного консорциума по онкофертильности, г.Чикаго).
В медицинском центре «Medical Plaza» услуга предоставляется на основании подтверждённого диагноза "Женское бесплодие" или "Мужское бесплодие".
ЧТО ВХОДИТ В ПРОГРАММУ:
- медикаментозное сопровождение;
- фолликулометрия (УЗ-мониторинг фолликула);
- консультация врача-анестезиолога;
- внутривенный наркоз до 30 минут;
- трансвагинальная пункция яичников;
- денудация ооцит-кумулюсных комплексов (ОКК);
- обработка эякулята;
- PICSI 1-10 яйцеклеток;
- культивирование эмбрионов;
- эмбриотрансфер;
- постпункционное пребывание в стационаре;
- пребывание в дневном стационаре + питание.
Отзывы про ЭКО в Medical Plaza
СДЕЛАТЬ ЭКО В УКРАИНЕ - РЕШИТЬ ПРОБЛЕМУ БЕСПЛОДИЯ СОВРЕМЕННЫМ МЕТОДОМ
Если нет возможности зачать малыша естественным способом, многие пары прибегают к вспомогательным репродуктивным технологиям: экстракорпоральное оплодотворение или ЭКО считается одним из самых эффективных современных методов лечения бесплодия.
Его суть заключается в соединении сперматозоида и яйцеклетки вне тела женщины и подсадки эмбриона в матку для дальнейшего его развития. После этого искусственное оплодотворение считается завершенным. Дети, зарождавшиеся «в пробирке», ничем не отличаются от тех, кто был зачат естественным способом (подробнее в материале "Дети-ЭКО: здоровье, отличие и их развитие").
НЕМНОГО О САМОЙ ПРОЦЕДУРЕ
Технология экстракорпорального оплодотворения (ЭКО) применяется при бесплодии как у женщин, так и мужчин. Если женщина способна выносить и родить малыша, но в силу обстоятельств неспособна его зачать – ЭКО часто становится единственным выходом из ситуации. Причиной такого вида бесплодия может стать, например, непроходимость маточных труб (трубное бесплодие). Яйцеклетку соединяют со сперматозоидом и помещают в матку. Женщина вынашивает малыша, а в положенный срок происходят роды.
Поскольку цена на экстракорпоральное оплодотворение зависит от многих факторов (возраст, наличие сопутствующих заболеваний, применяемые в программе препараты и пр.), мы рекомендуем не откладывать и сразу приходить на консультацию к репродуктологу. Возможно, конкретно в вашем случае даже не потребуется прибегать к экстракорпоральному оплодотворению, ведь настоящим исскусством хорошего репродуктолога является решение проблемы естественным путем, а если не получается – то с использованием ВРТ. В нашем Центре работают исключительно высококвалифицированные специалисты-репродуктологи с богатым опытом проведения удачных протоколов ЭКО для пар с самыми разными причинами бесплодия:
КАК ОСУЩЕСТВЛЯЕТСЯ ЭКО?
Где сделать ЭКО в Украине: в Днепропетровске, Харькове, Запорожье или Киеве? Каждая семья решает это самостоятельно, ведь нет границ при таком заветном желании стать родителями! Сама процедура амбулаторная – в стационар ложиться не следует, можно вести обычный образ жизни с небольшими исключениями.
На ЭКО цена в Medical Plaza - от 70 тыс.грн в зависимости от индивидуальных особенностей пары.
ПОДГОТОВКА К ПРОЦЕДУРЕ
Для начала нужно получить зрелые яйцеклетки, это можно сделать с помощью контролируемой стимуляции овуляции гормональными методами. Если проблем с овуляцией нет, то может проводиться ЭКО в естественном цикле. Цена на искусственное оплодотворение зависит от многих факторов, в том числе и от вида препаратов, которые назначит врач индивидуально. Учитываются некоторые нюансы:
- дозировку препаратов выбирает врач в индивидуальном порядке, он же разрабатывает схему в зависимости от результатов первичного обследования пациентки;
- стимуляция помогает достичь сразу две цели – получить пригодные к процедуре яйцеклетки и подготовить эндометрий матки к размещению в нее эмбриона;
Как только результат гормональной стимуляции становится оптимальным – яйцеклетки (или фолликулы) извлекают из тела женщины.
Следует заметить, что сделать ЭКО нелегко – этот процесс зачастую труден и физически, и психологически. Поэтому сделать ЭКО в Украине лучше всего в медучреждениях, специализирующихся на лечении бесплодия и имеющих высокий процент положительных подсадок, одним из которых является наш центр.
Благодаря Medical Plaza на свет появилось более 1000 детишек!
ПРОВЕДЕНИЕ ПУНКЦИИ ФОЛЛИКУЛОВ
Эта процедура проводится трансвагинально под УЗИ-контролем. Извлеченные фолликулы помещают в специальную среду, которая подготавливает их к дальнейшим действиям.
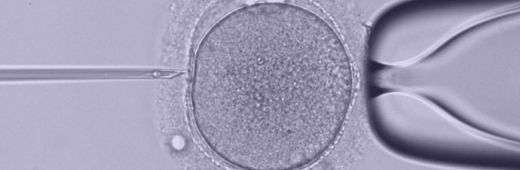
НЕПОСРЕДСТВЕННОЕ ОПЛОДОТВОРЕНИЕ
Это очень важная часть процесса искусственного оплодотворения. Предварительно мужчине следует сдать сперму для процедуры ICSI или для соединения яйцеклетки со сперматозоидом в специальной емкости (на усмотрение эмбриолога). Врачи-эмбриологи внимательно наблюдают за процессом оплодотворения, следят, чтобы не было патологий и сбоев. Оплодотворенные яйцеклетки помещают в специальный раствор и начинается этап культивации эмбрионов, который занимает 3-5 суток, а когда заканчивается – несколько эмбрионов вводят в полость матки. Остальные могут подвергнуть криоконсервации для повторения процесса в случае неудачи.
Если вы отчаялись в неудачных попытках зачать ребенка и планируете сделать ЭКО, цена на эту процедуру не должна стать препятствием в осуществлении мечты! В нашем медицинском центре регулярно проводятся акции на программы ЭКО.
Выбирайте профессиональных репродуктологов, на нашем сайте можно записаться к ним на консультацию уже сейчас.
ИМПЛАНТАЦИЯ ЭМБРИОНА В МАТКУ И ВЕДЕНИЕ БЕРЕМЕННОСТИ
Перенос готового эмбриона в полость матки осуществляется с помощью специального катетера. Процесс - безболезненный и абсолютно безопасный и для будущей мамочки, и для ее малыша. Максимальное количество введенных эмбрионов – два. Более подробно данный процесс описан в нашем материале "Подсадка эмбрионов при ЭКО".
Затем врач назначает поддерживающую терапию гормональными препаратами для успешной имплантации эмбрионов. Спустя пару недель женщине делают анализ крови на ХГЧ –гормон для определения наличия беременности. В случае успеха беременность идет своим чередом и спустя положенный срок происходят роды.
Многие пары готовы ехать заграницу ради успешного результата ЭКО, однако искусственное оплодотворение в Украине можно делать не менее эффективно.
В Medical Plaza эффективность составляет более 50%, что на уровне передовых международных клиник репродукции.
По данным статистики после экстракорпорального оплодотворения рождается больше двойняшек, чем после традиционного способа зачатия.
Не всегда экстракорпоральное оплодотворение происходит успешно с первого раза. Неудачное ЭКО - не повод отказаться от мечты стать родителями. К этому следует быть психологически готовым и не отчаиваться, если беременность не наступила. Ограничений по количество процедур ЭКО нет, все зависит от состояния здоровья женщины и ее самочувствия, можно неоднократно повторять процедуру (тем более, если есть готовые эмбрионы). Каждый организм - уникален, поэтому и искусственное оплодотворение будет проходить по-разному. О возрастных пределах проведения процедуры читайте в статьях:
Начинать всегда следует с детальной консультации у специалистов-репродуктологов. На первую консультацию к врачу-репродуктологу лучше прийти с анализами.
При обращении в медицинский центр, исходя из индивидуальных особенностей каждой пары, врач может назначить дополнительное обследование и консультации специалистов. Результаты анализов необходимы врачу для постановки диагноза, выбора метода лечения, а также чтобы способствовать повышению шанса наступления беременности.
Нашими пациентами стали пары не только из Днепра, но и из Запорожья, Харькова, Одессы, Киева и многих других городов Украины и мира. Записаться на прием к репродуктологу можно по телефону либо через наш сайт, после консультации будет примерно обозначена стоимость искусственного оплодотворения конкретно в вашем случае. С помощью современных репродуктивных технологий стать родителями можно даже в относительно зрелом возрасте. С Медицинским Центром Medical Plaza все пары получают шанс стать родителями!

























