Рак шейки матки
Рак шейки матки - это злокачественное новообразование, развивающееся из клеток слизистой оболочки цервикального канала.

РШМ занимает 4 место в мире среди онкопатологий у женщин и имеет наивысший процент смертности. Причем, болезнь может обнаруживаться в достаточно молодом возрасте. Изначально патология не имеет никакой клинической симптоматики и не доставляет особых беспокойств, что может затруднять раннюю диагностику. Первые признаки могут появиться уже на этапе метастазирования опухоли.
Несмотря на всю серьезность и тяжесть процесса, у женщины есть все шансы выносить и родить здорового ребенка. Лучше всего РШМ поддается лечению на ранних стадиях. Вот почему скрининговые профилактические осмотры имеют такое принципиально важное значение в контексте диагностики этого заболевания.
Причины рака шейки матки
Манифестация злокачественного процесса начинается с того, что здоровые клетки претерпевают мутации. В норме они рождаются в четко определенном месте и умирают в строго «запрограммированное» время. Атипичные клетки же ведут себя иначе – они бесконтрольно делятся, размножаются, разрушая всё на своем пути.
Причиной появления опухоли может послужить мутация всего лишь одной клетки. Ученым до сих пор неизвестно, почему происходит такая «поломка». Специалисты выделяют спорадический (случайный) характер появления злокачественного процесса. Это значит, что целый ряд факторов может инициировать его развитие. К ним относятся:
- ВПЧ;
- раннее начало половой жизни;
- ожирение;
- курение;
- гормональные нарушения;
- большое количество половых партнеров;
- сахарный диабет;
- ЗППП (хламидиоз, герпес);
- гипертоническая болезнь;
- дефицит витаминов, скудное питание;
- длительный стресс, тревожность;
- радиоактивное и химическое воздействие;
- множество беременностей и родов;
- микротравмы в области цервикального канала;
- наследственная предрасположенность;
- незащищенные половые контакты (игнорирование барьерных методов контрацепции);
- лейкоплакия, эндометриоз, эндоцервикоз;
- хронические заболевания мочеполовой системы;
- большое количество абортов в прошлом;
- длительное использование оральных контрацептивов;
- нарушение работы иммунной системы, ВИЧ, прием иммуносупрессоров.
Одним из главных и научно доказанных факторов риска является вирус папилломы человека. При этом, само присутствие ВПЧ не означает стопроцентного развития злокачественного процесса. Известно более ста различных типов, но лишь несколько из них связаны с онкологией.
Чаще всего заражение происходит половым путем, включая оральный и анальный секс. Специалисты говорят о том, что использование презервативов может на 70 % снизить вероятность инфицирования. Самым эффективным методом специфической профилактики ВПЧ является вакцинация. Ее рекомендовано сделать еще до начала половой активности. Наилучший иммунный ответ происходит при вакцинации в школьном возрасте.
Симптомы и признаки рака шейки матки
Признаки РШМ неспецифичны. По ним сложно однозначно утверждать, что состояние спровоцировано именно злокачественным процессом. Требуется профессиональная помощь и тщательная диагностика. Поводом для обращения к специалисту могут послужить:
- необычные выделения из влагалища;
- боли в животе, тазовой и поясничной областях;
- сбои менструального цикла;
- дискомфорт при мочеиспускании и опорожнении кишечника;
- боли во время полового акта;
- кровянистое отделяемое из половых путей, не связанные с менструацией, в том числе, после интимной близости;
- слабость, утомляемость, апатия;
- ухудшение аппетита, беспричинная потеря веса;
- длительный субфебрилитет.
Первые признаки рака шейки матки
На начальных этапах злокачественный процесс протекает скрытно и никак себя не проявляет. Зачастую первые признаки возникают лишь после того, как опухоль успела разрастись до крупных размеров или повредить близлежащие структуры. Нередко обнаружение РШМ является случайной находкой при проведении гинекологического обследования.
Даже если на ранних стадиях и появляются симптомы, они, как правило, мало заметны и не доставляют особых неудобств. Женщину могут насторожить следующие признаки:
- обильные и длительные менструации;
- патологические выделения (могут быть с неприятным запахом);
- диспареуния (боль во время полового акта);
- выделение крови из влагалища;
- боли в тазовой области.
Хотя вышеупомянутые симптомы могут быть проявлением многих других, в том числе, доброкачественных, заболеваний, в случае их возникновения важно обратиться к специалисту. Любые признаки, вызывающие нарушения в работе репродуктивной системы, являются поводом для незамедлительного обращения к врачу. Своевременное обнаружение патологии значительно увеличивает шансы на стойкую ремиссию и выздоровление.
Где болит при раке шейки матки
При РШМ боль обычно возникает в области таза и нижней части живота. Ее характер и локализация могут отличаться в зависимости от целого ряда факторов, в том числе, стадии процесса, его сосредоточения и индивидуальных особенностей пациента.
Выделения при раке шейки матки
В зависимости от характера изменений тканей выделения могут быть кровянистыми, слизистыми или водянистыми. Они могут приобретать резкий, отталкивающий запах.
На ранних стадиях процесса обычно наблюдаются обильные водянистые выделения. Периодически к ним может примешивается небольшое количество крови. С течением времени они становятся более обильными и перерастают в кровотечение.
Какого цвета выделения при раке шейки матки
Выделения могут быть различных цветов – белые, прозрачные, коричневые, оранжево-желтоватые и др. Любые изменения в их оттенке, консистенции и запахе требуют диагностического обследования. Цвет выделений не является диагностическим критерием РШМ.
Как быстро развивается рак шейки матки
РШМ – это длительный процесс, который может занять от двух до десяти лет и более. Только спустя много лет у женщины могут появиться явные симптомы, вынуждающие ее обратиться к специалисту.
Как определить рак шейки матки
Диагностика начинается с консультации гинеколога. Во время приема врач собирает анамнез, изучает имеющиеся жалобы и проводит гинекологический осмотр. Для постановки диагноза требуется комплексное исследование, которое может включать в себя:
- УЗИ;
- КТ, МРТ;
- ПЭТ;
- кольпоскопия;
- кровь на онкомаркеры;
- цитологическое исследование;
- биопсия.
Анализ на онкомаркеры при раке шейки матки
При подозрении на РШМ проводится анализ на онкомаркер SCC. При этом стоит помнить, что по одному лишь этому исследованию невозможно подтвердить или опровергнуть рак. Анализ используется в совокупности с другими методами диагностики.
Рак шейки матки на УЗИ
В диагностике РШМ ультразвуковое исследование используется реже. Связано это с тем, что специалист сможет увидеть лишь патологические изменения, которые могут указывать на онкологию, однако для подтверждения диагноза потребуется ряд других исследований. Обращают на себя внимание:
- утолщение неправильной формы с нечеткими контурами;
- пониженная эхогенность;
- увеличение размеров шейки матки;
- усиление кровообращения;
- неоднородная структура.
УЗИ-признаки РШМ неспецифичны. Врач может обнаружить опухоль, но понять доброкачественная она или злокачественная, невозможно.
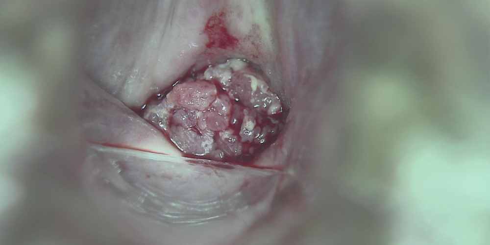
Кольпоскопия при подозрении на рак шейки матки
Является «золотым стандартом» в диагностировании РШМ на ранних стадиях. Исследование подразумевает осмотр внутренних половых органов под большим увеличением. Это позволяет рассмотреть измененные участки в режиме реального времени и получить достоверную информацию о степени их развития.
Виды рака шейки матки
Врачи выделяют два основных типа РШМ:
- плоскоклеточный рак (развивается из эпителиальных клеток, покрывающих поверхность шейки матки);
- аденокарцинома (формируется в железистом эпителии, отличается способностью порастать глубоко в ткани, встречается в 10-20% случаев).
Плоскоклеточный рак шейки матки
Это самый распространенный тип, на долю которого приходится 70-80% случаев. Плоскоклеточный рак легче поддается лечению. Для заболевания характерно скрытое течение.
Плоскоклеточный рак в свою очередь делится на ороговевающий и неороговевающий. Первый вариант менее агрессивный и отличается медленным развитием. Неороговевающая форма представляет наибольшую опасность, так как характеризуется высокой скоростью распространения.
Стадии рака шейки матки
Различают четыре основных стадии РШМ:
- Образование ограничено самой шейкой матки. Другие органы не затронуты. Опухоль имеет небольшие размеры и отличается низкой скоростью разрастания. Терапия на этой стадии наиболее эффективна.
- Опухоль распространяется за пределы шейки матки. В другие органы и лимфоузлы не прорастает.
- Опухоль переходит на нижнюю часть влагалища. Может прорастать в стенки таза. На этом этапе образование способно достигать крупных размеров. Наблюдается метастазирование в регионарные лимфоузлы.
- Процесс распространяется на соседние органы. Возможно также отдаленное метастазирование. Раковые клетки проникают в кровоток и расходятся по всему организму.
Неинвазивный рак шейки матки
Характерен для начальных стадий процесса. Атипичные клетки растут медленно. Далее слизистой оболочки они не распространяются.
Инвазивный рак шейки матки
На этом этапе своего развития образование выходит за пределы органа и начинает поражать ближайшие структуры. Процесс перехода в инвазивную форму может длится не один год.
Как лечат рак шейки матки
Тактика лечения в первую очередь зависит от стадии злокачественного процесса. Большое значение имеет размер и локализация опухоли, а также наличие метастазов.
Предпочтение отдается органосохраняющим вмешательствам, в ходе которых удаляются только измененные ткани. Такая тактика позволяет сохранить репродуктивную функцию и в будущем благополучно выносить ребенка. Однако она имеет смысл только на начальных стадиях, когда злокачественный процесс локализуется в цервикальном канале. Если же образование имеет крупные размеры и успело прорости в лимфоузлы, может потребоваться проведение радикальной операции с удалением матки.
Для устранения оставшихся раковых клеток хирургическое лечение зачастую сочетают с химиотерапией или лучевой терапией. С целью снижения рисков осложнений и восстановления организма проводится курс реабилитации. В некоторых случаях требуется длительная работа с психотерапевтом.
Робот-ассистированные операции при раке шейки матки, проводимые в Medical Plaza
В нашей медицинском центре операция при РШМ может быть выполнена робот-ассистированным способом. Система Da Vinci позволяет проводить хирургические вмешательства с ювелирной точностью, обеспечивая непревзойденную маневренность и ловкость движений. Среди ее главных преимуществ:
- минимальная травматизация тканей;
- полный контроль за ходом операции;
- плавность и четкость движений (отсутствие физиологического дрожания рук);
- меньший объем кровопотерь;
- возможность проникать в труднодоступные места;
- хороший косметический результат (отсутствие заметных шрамов и рубцов);
- непродолжительный реабилитационный период;
- снижение риска послеоперационных осложнений (менее выраженный болевой синдром).
Управление системой Da Vinci требует от специалиста соответствующего профессионализма и навыков. Успех проведения робот-ассистированной операции во многом зависит от уровня его мастерства. В медицинском центре «Medical Plaza» работает один из лучших онкологов-гинекологов Украины – Мочайло Сергей Владимирович. Врач более 27 лет занимается хирургическим лечением гинекологических заболеваний, в том числе рака шейки матки. Сергей Владимирович в совершенстве владеет всеми видами лапароскопических и гистероскопических вмешательств, а также с большим успехом проводит робот-ассистированные операции.
Если у Вас появились настораживающие симптомы, не затягивайте с визитом к специалисту и не занимайтесь самолечением. Промедление может стоить очень дорого. Вы рискуете упустить драгоценное время и потерять шанс на выздоровление. Услышанный диагноз может прозвучать устрашающе и угнетающе, однако это не приговор. Победить тяжелое заболевание можно только совместными усилиями высококвалифицированных специалистов. Своевременная квалифицированная помощь поможет справиться с болезнью.
«Medical Plaza» - это лучшая медицинский центр для диагностики и лечения онкологических заболеваний. Медицинский центр оснащен по последнему слову техники. В своей практике мы используем инновационное оборудование последнего поколения. У нас имеется собственная лаборатория. Все необходимые исследования и процедуры выполняются быстро, точно, без очередей и задержек. В случае подтверждения диагноза, Вам будет назначена грамотная тактика лечения с использованием проверенных и доказавших свою эффективность методов. Позаботьтесь о своем здоровье уже сейчас, запишитесь на прием к одному из наших специалистов. Двери медицинского центра «Medical Plaza» открыты для Вас!
Источники:
- International Journal of Gynecological Cancer
- Gynecologic Oncology Journal
- Journal of Lower Genital Tract Disease
- Cancer Research UK – Cervical Cancer Section (cancerresearchuk.org)
- National Comprehensive Cancer Network (NCCN) Guidelines for Cervical Cancer (nccn.org)
- World Health Organization (WHO) – Cervical Cancer Elimination Initiative (who.int)
- American Society of Clinical Oncology (ASCO) Guidelines for Cervical Cancer (asco.org)
- International Federation of Gynecology and Obstetrics (FIGO) (figo.org)
- European Society for Medical Oncology (ESMO) – Cervical Cancer Guidelines (esmo.org)
- Centers for Disease Control and Prevention (CDC) – Cervical Cancer Information (cdc.gov)
-
Рак шейки матки: сколько живут?
Прогноз при РШМ во многом зависит от своевременности диагностики и начала лечения. Также во внимание берется возраст пациентки, наличие сопутствующих патологий, состояние иммунитета и др. Пятилетняя выживаемость в случае раннего обнаружения заболевания составляет около 90 %. По мере прогрессирования процесса прогнозы ухудшаются. Так, при обнаружении отдалённых метастазов этот показатель составляет менее 20%.
-
Что нельзя делать при раке шейки матки?
Запрещены тяжелые физические нагрузки, употребление алкоголя, курение. Среди ограничений также можно отметить стресс, загорание. Следует ограничить потребление переработанных продуктов (колбас, консервов), а также жирной и копченой пищи.
-
Какой самый агрессивный рак шейки матки?
Самой агрессивной формой РШМ является низкодифференцированный рак. Он отличается быстрым прогрессированием и появлением метастазов.
-
Какой цикл при раке шейки матки?
При РШМ менструации могут становится болезненными, длительными, обильными. Также присутствуют сбои цикла.
-
Какой ВПЧ вызывает рак шейки матки?
В 80% рак шейки матки вызывают 16 и 18 штаммы.
-
Как делают скрининг рака шейки матки?
Начинать проведение скринингового обследования шейки матки рекомендовано с 25 лет. Программа может включать в себя консультацию гинеколога, ПАП-тест, анализ на ВПЧ, кольпоскопию.
- Врач акушер-гинеколог
- Онкогинеколог
- Хирург


Комментарий специалиста: Мочайло Сергей Владимирович, онкогинеколог, стаж — более 30 лет
«Рак шейки матки — одно из тех онкологических заболеваний, которое можно предотвратить. И это не просто красивая фраза. Мы знаем точную причину его возникновения — это вирус папилломы человека, или ВПЧ. Более 95% случаев этого рака связаны с инфицированием высокоонкогенными штаммами вируса, чаще всего 16 и 18 типами.
Важно понимать, что ВПЧ — очень распространённая инфекция. По разным данным, до 80% женщин хотя бы раз в жизни сталкиваются с этим вирусом. Но у большинства он уходит сам, незаметно. А вот у кого-то — особенно если иммунитет ослаблен, если есть хронические воспаления, вредные привычки — вирус может задержаться, вызвать изменения в клетках шейки матки. Сначала это лёгкая дисплазия, потом более серьёзные изменения, и через несколько лет — уже злокачественный процесс.
По статистике ВОЗ, ежегодно в мире рак шейки матки диагностируют у более чем 600 000 женщин, и около 340 000 умирают от него. Это страшные цифры, особенно если учесть, что заболевание развивается медленно и его можно вовремя остановить.
Мне как врачу особенно обидно, когда диагноз ставится уже на поздней стадии, просто потому что женщина не ходила к гинекологу 10–15 лет. Ведь обычный ПАП-тест раз в 1–3 года может вовремя выявить проблему, ещё до первых симптомов. А если добавить сюда вакцинацию от ВПЧ — которую, к слову, ВОЗ считает одной из самых эффективных мер профилактики — то мы реально можем снизить заболеваемость в разы. Так что мой главный посыл: не бойтесь профилактики. Это не больно, не страшно и, возможно, спасёт вам жизнь.»