Переломы лодыжек

Переломы лодыжек – это распространенная среди спортивных и бытовых травма нижних конечностей. Сами перелом представляет собой нарушение целостности дистального отдела малоберцевой и/или большеберцевой кости. Основными факторами выступают спотыкания, падения с небольшой высоты, прямой удар тяжелым предметом в нижню треть голени.
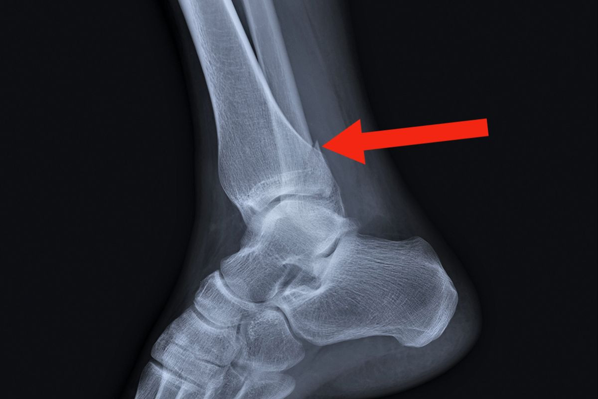
Симптомы и диагностика
В момент перелома пострадавший человек может слышать хруст в месте травмирования конечности. Сразу же появляется острая боль, которая отдает в область голеностопного сустава. Также можно отметить нарастание отечности мягких тканей, возникает гематома, за счет чего увеличивается обхват щиколотки. Подвижность сустава нарушается. Возможно изменение положения стопы, если перелом со смещением.
При появлении хотя бы одного из перечисленных симптомов необходимо обратиться за квалифицированной медицинской помощью. Поставить правильный диагноз позволят современные методы диагностики.
Что включает диагностика:
- Сперва специалист (ортопед, травматолог) выясняет, при каких обстоятельствах была получена травма, и осматривает место перелома.
- Исследовать характер травмы голеностопного сустава позволяет рентгенологическое обследование. В процессе диагностики оценивается состояние целостности кости, смещение фрагментов.
- Магнитно-резонансная томография проводится в том случае, если есть подозрение на разрыв связок и травмы мягких тканей.
- Компьютерная томография необходима для визуализации, уточнения позиции отломков, при оскольчатых, сложных, мелких перелом костей со значительным смещением и без.
Так, в медицинском центре Medical Plaza & Irimi Group пациентам доступна качественная диагностика и лечение переломов лодыжек.
Лечение
При переломе лодыжки пациенту должна быть незамедлительно оказана первая медицинская помощь. Рекомендуется обездвижить травмированную конечность, используя медицинскую фиксирующую шину или подручные материалы.
Если диагностирован перелом одной лодыжки без смещения, разрыва связок и с неповрежденным межберцовым синдесмозом, достаточно консервативного лечения. В первую очередь травмированную конечность обездвиживают, применяя короткие гипсовые/полимерные повязки или съемный бандаж. Также пациенту рекомендовано использование костылей.
Полный разрыв связок, множественный перелом, наличие осколков кости– все это считается показаниями к хирургическому лечению. Остеосинтез – это одна из современных методик хирургического лечения, практикующаяся опытными ортопедами и травматологами, работающими в нашем Центре. Суть операции заключается в совмещении обломков костей и их фиксации с помощью металлическим спиц, штифтов, пластин. Такая методика позволяет воссоздать анатомически правильное строение кости и восстановить полноценное функционирование голеностопного сустава.
В зависимости от методики внедрения фиксатора, выделяют 3 методики проведения операции:
- Внекостный. Пластины накладываются на кости и фиксируются винтами.
- Внутриконстный. Фиксаторами выступают металлический штифты, которые вводятся в костномозговые каналы фрагментов кости.
- Чрезкостный. Операция выполняется с применением стерильных металлических спиц. Последние вводятся в фрагменты костей через небольшие проколы в мягких тканях. Спицы помогают переместить фрагменты костей в нужное положение. Фиксирующие элементы в это время находятся над кожей.
Остеосинтез проводят как в первые часы после травмы, так и позже, например, после проведенного консервативного лечения, оказавшегося малоэффективным.
Преимущества остеосинтеза очевидны:
- В ходе операции полностью воссоздается правильная структура кости, которая была подвержена перелому.
- Реабилитационный период, включая послеоперационный постельный режим, относительно короткий.
- Фиксаторы, использующиеся для проведения остеосинтеза, изготовлены из безопасного металла, которые не вступает в реакцию с мягкими тканями и не отторгается.
Перед хирургическим вмешательством каждый пациент проходит дооперационное обследование. На этом этапе проводится тщательная диагностика, позволяющая корректно выбрать тактику хирургического лечения с учетом индивидуальных особенностей организма пациента. Продолжительность операци зависит от особенностей травмы.
Реабилитация после операции включает меры, направленные нормализацию кровообращения и профилактику тромбоза. Пациенту после остеосинтеза показана лечебная гимнастика, позволяющая поддерживать в тонусе мышцы.
В Medical Plaza & Irimi Group каждому пациенту готовы предложить профессиональную медицинскую помощь, в частности, проведение остеосинтеза при переломах лодыжек. Наши специалисты в области травматологии и ортопедии, включая эндопротезирование и артроскопию, проявят индивидуальный подход к каждому пациенту. Высокий уровень профессионализма врачей, инновационное медицинское оборудование, использование фиксаторов, изготовленных из гипоаллергенных материалов, позволяет проводить любые хирургические вмешательства с минимальным риском послеоперационных осложнений. Также мы уделяем особое внимание организации реабилитационного периода, создавая индивидуальный план послеоперационного восстановления.





